les traitements ARN messager, leur efficacité factuelle et les effets factuels secondaires à court et long terme - Espaces, formes et contours

Espaces, formes et contours

Architecture moderne, ancienne, égyptienne, géométrie, harmonie

Accéder au contenu

  • Raccourcis
  • FAQ
  • Connexion
  • Inscription
  • Espaces, formes et contours Espaces, formes et contours CatĂ©gories du forum Hors sujets en vrac

les traitements ARN messager, leur efficacité factuelle et les effets factuels secondaires à court et long terme

Répondre
  • Aperçu avant impression
181 messages
  • Page 1 sur 8
    • Atteindre la page :
  • 1
  • 2
  • 3
  • 4
  • 5
  • …
  • 8
  • Suivant
Jean François
Site Admin
Messages : 2119
Inscription : 18 Juin 2018, 18:28

les traitements ARN messager, leur efficacité factuelle et les effets factuels secondaires à court et long terme

  • Citer

Message par Jean François » 11 Oct 2021, 13:30

Ici nous mettrons tous les travaux de recherche, et les témoignages sur les effets secondaires du traitement ARN messager pour se protéger du COVID 19.
jeanfrancoiswarein@gmail.com
Haut

Olivier
Site Admin
Messages : 858
Inscription : 17 Juin 2018, 20:39

Re: les traitements ARN messager, leur efficacité factuelle et les effets factuels secondaires à court et long terme

  • Citer

Message par Olivier » 11 Oct 2021, 15:06

ça va être un travail que je ne vais pas avoir le temps de faire.

Mais concernant l'espace, les formes et des contours des "vaccins arnm", certains travaux m'interpellent, qui expliquerait pour les anti-parasitaires interdits (chloroquine et Ivermectine par exemple) fonctionnent :

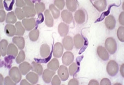
Ils émaneraient entre autres d'un certain docteur Young, repris par beaucoup de sites internet, qui aurait constaté la présence de graphène, mais encore plus troublant carrément des parasites dans les lots de vaccin à garder congelés très bas pour conservation :

micrographie de différentes micro et nanoparticules qui ont été identifiées dans les vaccins Pfizer, Moderna, Astrazeneca et Janssen et analysées au microscope électronique à balayage (MEB) couplé à une microsonde à rayons X d’un système à dispersion d’énergie (SDE) qui révèle la taille des particules, la distribution de la composition et la nature chimique des micro et nanoparticules observées.

screenshot_2021-10-11_at_09-35-14_des_scientifiques_du_monde_entier_analysent_la_composition_des_vaccins-83bad.png
Un corps allongé de 50 microns est une présence mystérieuse et nette dans le vaccin Pfizer. Il apparaît et est identifié anatomiquement comme un parasite Trypanosoma cruzi dont plusieurs variantes sont létales et constituent l’une des nombreuses causes du syndrome d’immunodéficience acquise ou SIDA.

L’image ci-dessus identifie une composition de nanoparticules et confirme donc la présence d’un parasite Trypanosoma d’environ 20 microns de long trouvé dans le soi-disant “ vaccin ” Pfizer. Il est composé de carbone, d’oxygène, de chrome, de soufre, d’aluminium, de chlorure et d’azote.
screenshot_2021-10-11_at_09-36-24_des_scientifiques_du_monde_entier_analysent_la_composition_des_vaccins-38c63.png
Parasite Trypanosoma cruzi vivant dans du sang inoculé par le vaccin et détecté grâce à Une micrographie par microscopie à contraste de phase. l’image identifie une composition de nanoparticules comprenant du carbone, de l’oxygène, du chrome, du soufre, de
l’aluminium, du chlorure et de l’azote, que l’on retrouve également dans les “vaccins” CoV-19.
Des rumeurs ont circulé comme quoi il y en avait aussi dans les masques.

Mais c'est surement tout des fakes neuws ! Moi Bfm, le Spike, le magnétisme, ce que je vois sur mes proches, l'absence d'information des labos, le refus de laisser les médecins soigner, la totale incohérence de la gestion hospitalière de "l'épidémie", la fermeture des lits, la disparition soudaine de la grippe et les délires de Schwab me suffisent déjà amplement pour me faire mon idée.

On dirait que le Covid-1984 est comme un test de QI et de soumission à l'autorité. Un test meurtrier hélas, qui révèle collabos et résistants chez les politiques, intellectuels, corrompus, etc ...

2 + 2 = 4
Amitiés,
Olivier
Haut

Jean François
Site Admin
Messages : 2119
Inscription : 18 Juin 2018, 18:28

Re: les traitements ARN messager, leur efficacité factuelle et les effets factuels secondaires à court et long terme

  • Citer

Message par Jean François » 11 Oct 2021, 17:43

Je mets ici l'étude complète

https://www.drrobertyoung.com/post/tran ... 9-vaccines


Mais que viennent faire ces nano particules de graphen, qui étaient déjà considérées comme dangereuses pour le sang, dans un traitement contre le COVID.

Des apprentis sorciers ou des sorciers pervers !

Aucune importance, l'important est de savoir ce que contiennent ces injections dont les constituants sont tenus secrets par les laboratoires, prétextant le secret commerciale de fabrication.

Comment en somme nous arrivés à ne même plus nous méfier des injections de traitement, en phase expérimentale en plus et non certifié et sans la notice de ses constituants, appelées faussement "Vaccin" ( aucun Vaccin ne nécessite des injections à répétition) er de plus expérimental, alors que tout malade habituellement sain d'esprit s'inquiète et pose des questions naturelles sur les effets secondaires d'un médicament et son rapport bénéfice risque, ne serait-ce que pour ses intolérance et allergie à certaines substances...?

Comment avons nous accepté un traitement sans la notice des ingrédients!!!

Toute les barrières ont été pulvérisées, toutes les lois ont été violées, jusqu'au code de Nuremberg qui ne servirait déjà plus à rien...

Au niveau des morts et des effets secondaires à vie, toutes les lampes rouges qui habituellement ne sont jamais laissées allumées car il y a alors arrêt brusque du traitement, continuent allègrement de clignoter dans l'indifférence générale.

Comment en somme nous arrivés à ce point, à ce poing qu'on est en train de prendre en pleine figure. !
jeanfrancoiswarein@gmail.com
Haut

Olivier
Site Admin
Messages : 858
Inscription : 17 Juin 2018, 20:39

Re: les traitements ARN messager, leur efficacité factuelle et les effets factuels secondaires à court et long terme

  • Citer

Message par Olivier » 11 Oct 2021, 23:13

Bonsoir Jean François,

oui que viendrait faire le graphène dans toute cette merde ?

Il se trouve que, entre autres, cela permettrait aux injections de soigner aussi nos cerveaux complotistes en passant la barrière hémato-encéphalique, déjà mise à mal avec leurs longs bâtonnets tests de sadique. Sans rapport avec l'augmentation des AVC après injections, bien sûr !

Reduced graphene oxide induces transient blood–brain barrier opening: an in vivo study, in Journal of Nanobiotechnology, 30/10/2015

https://jnanobiotechnology.biomedcentra ... 015-0143-z

J'espère que France Soir ne citera pas cette étude ...
Amitiés,
Olivier
Haut

Olivier
Site Admin
Messages : 858
Inscription : 17 Juin 2018, 20:39

Re: les traitements ARN messager, leur efficacité factuelle et les effets factuels secondaires à court et long terme

  • Citer

Message par Olivier » 12 Oct 2021, 00:28

Selon Schoenmaker et all, 2021, les arnm des vaccins ont une taille comprises entre 60 et 100 nanomètres.

Que viennent donc faire des structures courbes de 5 à 10 micromètres dans le Moderna ?

https://threadreaderapp.com/thread/1447 ... 32873.html
Amitiés,
Olivier
Haut

Olivier
Site Admin
Messages : 858
Inscription : 17 Juin 2018, 20:39

Re: les traitements ARN messager, leur efficacité factuelle et les effets factuels secondaires à court et long terme

  • Citer

Message par Olivier » 12 Oct 2021, 00:34

https://odysee.com/@healthinvestigator: ... 0)(360p):2

Lien sur des composants des vaccins non déclarés. Merci à celui qui en fera un compte rendu, odyssée ne marche pas sur mon vieux linux.
Amitiés,
Olivier
Haut

MichelBL
Messages : 326
Inscription : 12 Avr 2019, 11:59

Re: les traitements ARN messager, leur efficacité factuelle et les effets factuels secondaires à court et long terme

  • Citer

Message par MichelBL » 12 Oct 2021, 15:00

Bjr,

Olivier écrit :"L’image ci-dessus identifie une composition de nanoparticules et confirme donc la présence d’un parasite Trypanosoma d’environ 20 microns de long trouvé dans le soi-disant “ vaccin ” Pfizer. Il est composé de carbone, d’oxygène, de chrome, de soufre, d’aluminium, de chlorure et d’azote.screenshot_2021-10-11_at_09-36-24_des_scientifiques_du_monde_entier_analysent_la_composition_des_vaccins-38c63.png
Parasite Trypanosoma cruzi vivant dans du sang inoculé par le vaccin et détecté grâce à Une micrographie par microscopie à contraste de phase.[b] l’image identifie une composition de nanoparticules comprenant du carbone, de l’oxygène, du chrome, du soufre, de l’aluminium, du chlorure et de l’azote,
que l’on retrouve également dans les “vaccins” CoV-19."[/b]


Grosse supercherie, on ne peut voir des nanoparticules "comprenant du carbone, de l’oxygène, du chrome, du soufre, de
l’aluminium, du chlorure et de l’azote" avec un microscope à contraste de phase. Cette photo provient d'un site sur le trypanosome n'ayant rien à voir avec les nanoparticules.
Vaccin Pfizer 1.JPG
Vaccin Pfizer 2.JPG
Pas de graphène ou autres. Une déclaration incomplète constitue une fausse déclaration et au Canada il ne faut pas rigoler avec les tribunaux.

Michel
Haut

Olivier
Site Admin
Messages : 858
Inscription : 17 Juin 2018, 20:39

Re: les traitements ARN messager, leur efficacité factuelle et les effets factuels secondaires à court et long terme

  • Citer

Message par Olivier » 12 Oct 2021, 17:57

Bonjour Michel,

tu as lu un peu trop vite et mélangé 2 articles différents, avec des procédés différents bien décrits en début d'article.

Les particules ont été retrouvées dans le Moderna.

Le Premier ministre du Japon, Yoshihide Suga, a démissionné une semaine après le scandale des contaminants métalliques trouvés dans plus de 2,6 millions flacons de « vaccin » Moderna. Il s'est retiré totalement de la vie politique et a renonce à se présenter aux élections.

« Le vaccin COVID-19 de Moderna est contaminé par une particule métallique qui réagit aux aimants » avait déclaré le Ministère japonais de la Santé, du Travail et du Bien-être.
Amitiés,
Olivier
Haut

Olivier
Site Admin
Messages : 858
Inscription : 17 Juin 2018, 20:39

Re: les traitements ARN messager, leur efficacité factuelle et les effets factuels secondaires à court et long terme

  • Citer

Message par Olivier » 12 Oct 2021, 18:44

je laisse apprécier cette information comme il se doit.

Le successeur n'a pas dit qui s'agissait d'une petite erreur technique de rien du tout, qu'on renvoie les lots posant problème et qu'on s'en fait livrer d'autres, ou qu'on les remplace par des vaccins Pfiser ou autres.

Au Japon ils ont aussitôt distribué en masse des kits Ivermectine (un antiparasitaire) et hop, plus de malades, ni de "cas", aussitôt !

Toute la chaine de commandement a sauté, ce n'était pas parce que c'était rien. Qu'est-ce qu'ils ont trouvé réellement, et qui se retrouvait aussi ailleurs ?

Ou alors c'est du pur hasard, bien sûr !

Comme mes proches que j'ai vus magnétiques, par l'opération du Saint Esprit.
Amitiés,
Olivier
Haut

Steph
Messages : 72
Inscription : 16 Mai 2021, 20:42

Re: les traitements ARN messager, leur efficacité factuelle et les effets factuels secondaires à court et long terme

  • Citer

Message par Steph » 13 Oct 2021, 12:35

Un lien très intéressant pour donner à réfléchir aux biologistes qui ont une vision réductionniste du vivant :

http://www.nicolasbouleau.eu/conference/#more-2925

Amitiés
Haut

Jean François
Site Admin
Messages : 2119
Inscription : 18 Juin 2018, 18:28

Re: les traitements ARN messager, leur efficacité factuelle et les effets factuels secondaires à court et long terme

  • Citer

Message par Jean François » 13 Oct 2021, 13:42

Merci Steph, cela replace notre connaissance sur l'ADN à sa juste place, une poussière d'étoiles dans une galaxie.

C'est peut-être l'humilité qui donne conscience à la science.

La certitude qui est le dogme s'incarne grâce à la technique de la paillasse dans la matière réelle par l'expérimentation...mais ici devenue une expérimentation mondiale sut tous les êtres humains jusqu'à ses enfants...

Un coup de dé et une roulette russe, c'est la vie et la mort en jeu ici.

Adviendra ce qui adviendra...ont décidé nos décideurs

Après nous le déluge...Aucun des décideurs n'a reçu le traitement ADN messager.

Vision à court terme des laboratoires excités par un profit financier colossale.

Ce qui n'a plus rien Ă  voir avec la science !

La science sera là, trop tard, pour ramasser les dégâts et d'en tirer les leçons douloureuses.

Comme je voudrai me tromper et me soumettre sagement à la pensée unique...et me sentir dans le confort et la sécurisation d'un sanitaire aux bonnes intentions et éclairé...

J'y arrive pas, plein de choses qui clochent...
jeanfrancoiswarein@gmail.com
Haut

MichelBL
Messages : 326
Inscription : 12 Avr 2019, 11:59

Re: les traitements ARN messager, leur efficacité factuelle et les effets factuels secondaires à court et long terme

  • Citer

Message par MichelBL » 13 Oct 2021, 16:21

Bonjour Ă  tous,

Olivier écrit : « tu as lu un peu trop vite et mélangé 2 articles différents, avec des procédés différents bien décrits en début d'article.
Les particules ont été retrouvées dans le Moderna. »


Tes références font bien appel au Dr.Young ? Voici qqs extraits de la version française sur le site du Dr.Young :
Des scientifiques du monde entier analysent la composition des vaccins | Aulnaycap

Dr. Young écrit: « Quels sont les ingrédients non divulgués contenus dans les vaccins Pfizer, Moderna, Astrazeneca et Janssen ?
Pour répondre à cette question, une fraction aqueuse des vaccins Pfizer, Moderna, Astrazeneca et Janssen a été prélevée dans chaque flacon, puis examinée séparément, sous microscope, montrant des preuves anatomiques de particules d’oxyde de graphène réduit (rGO)….
Parasite Trypanosoma cruzi vivant dans du sang inoculé par le vaccin et détecté grâce à une micrographie par microscopie à contraste de phase. L’image identifie une composition de nanoparticules comprenant du carbone, de l’oxygène, du chrome, du soufre, de l’aluminium, du chlorure et de l’azote, que l’on retrouve également dans les “vaccins” CoV-19.
»

Questions:
1- « des scientifiques… », lesquels ? Le Dr. Young est-il un scientifique ? Avec toutes les fausses vérités qu’il avance avec beaucoup d’aplomb, j’ai de sérieux doutes.
2- Comment par microscopie à contraste de phase peut-on déterminer l’existence « de nanoparticules comprenant du carbone, de l’oxygène, du chrome, du soufre, de l’aluminium, du chlorure et de l’azote… » ???
Sur la photo (du11 oct. 2021 Olivier) on ne voit que des trypanosomes (parasites) et des globules rouges, mais pas d’oxygène, du carbone, de l’aluminium…
Amitiés automnales
Michel
Haut

Jean François
Site Admin
Messages : 2119
Inscription : 18 Juin 2018, 18:28

Re: les traitements ARN messager, leur efficacité factuelle et les effets factuels secondaires à court et long terme

  • Citer

Message par Jean François » 14 Oct 2021, 01:21

Vaccination plus risquée que la Covid-19 pour les 12-17 ans

Article important !

https://reinfocovid.fr/science/vaccinat ... 12-17-ans/
jeanfrancoiswarein@gmail.com
Haut

Jean François
Site Admin
Messages : 2119
Inscription : 18 Juin 2018, 18:28

Re: les traitements ARN messager, leur efficacité factuelle et les effets factuels secondaires à court et long terme

  • Citer

Message par Jean François » 14 Oct 2021, 01:24

La vaccination ne diminue pas le nombre de cas de Covid-19

Article tout aussi important!

https://reinfocovid.fr/science/la-vacci ... -covid-19/
jeanfrancoiswarein@gmail.com
Haut

Jean François
Site Admin
Messages : 2119
Inscription : 18 Juin 2018, 18:28

Re: les traitements ARN messager, leur efficacité factuelle et les effets factuels secondaires à court et long terme

  • Citer

Message par Jean François » 14 Oct 2021, 01:28

Arnaque de l'imputabilité

https://reinfocovid.fr/science/arnaque- ... utabilite/
jeanfrancoiswarein@gmail.com
Haut

Olivier
Site Admin
Messages : 858
Inscription : 17 Juin 2018, 20:39

Re: les traitements ARN messager, leur efficacité factuelle et les effets factuels secondaires à court et long terme

  • Citer

Message par Olivier » 14 Oct 2021, 01:30

Renaud Muselière :"Celui qui dit qu'il ne faut pas se faire vacciner est un assassin potentiel." R. Muselier

phpBB [video]


Il avait 99.9 % de chances de s'en tirer sans vaccin et sans traitement ...

La belle confirmation que les doubles vaccinés sont des super épandeurs.

Heureusement ils ont leur pass sanitaire pour en faire profiter tout le monde !
Amitiés,
Olivier
Haut

Jean François
Site Admin
Messages : 2119
Inscription : 18 Juin 2018, 18:28

Re: les traitements ARN messager, leur efficacité factuelle et les effets factuels secondaires à court et long terme

  • Citer

Message par Jean François » 14 Oct 2021, 01:32

A propos de l'Oxyde de Graphène

https://reinfocovid.fr/science/les-nano ... entations/
jeanfrancoiswarein@gmail.com
Haut

Jean François
Site Admin
Messages : 2119
Inscription : 18 Juin 2018, 18:28

Re: les traitements ARN messager, leur efficacité factuelle et les effets factuels secondaires à court et long terme

  • Citer

Message par Jean François » 14 Oct 2021, 11:51

Je n'ai aucune connaissance en génétique, biologie etc...je lis, j'écoute, surtout attentif pour ce traitement ARN messager au rapport bénéfice risque.

Soucieux d'harmonie, attentif aux rapports de proportion dans les œuvres architecturales et visuelles, je reste choqué par ce rapport bénéfice risque pour ces traitements.

Nous sommes aujourd'hui dans un principe de précaution vis à vis du COVID, pourtant plus d'épidémie, toujours du passe sanitaire, quelques soient les chutes des "cas"( Les cas ne sont pas des malades) et des malades...

Nous comprenons que c'est alors l'injection du traitement et les injections multiples auxquels la population doit se soumettre, qui est le but recherché par l'instauration de ce passe sanitaire.

Ce n'est pas la peste noire, 2020 étant l'année mondiale où il y a eu le moins de létalité de toute l'histoire de l'humanité.

Où sont passés les morts de la grippe dans le monde, en moyenne 1 millions de mort par année, grippe qui tue pas seulement les personnes âgées mais aussi les nouveaux nés et enfants. Où sont les campagnes de vaccination pour la grippe sur eux

Ce COVID ne tue ni les enfants ni les nouveaux nés, Pfizer s'impatiente pour les injecter eux aussi.

Le sanitaire est politique et le politique est corrompu par des intérêts privés.

Macron a vendu notre Alstom aux Etats Unis...et nos magnifiques turbines les meilleures, que le monde nous enviait, sont la possession des Etats Unis, même la maintenance de nos centrales est faite maintenant par les entreprises Américaines...

Les Etats Unis, leurs intérêts privés, peuvent du jour au lendemain bloquer nos 56 turbines et toutes nos centrales atomiques, nous privant ainsi d'électricité. Nous leurs avons donné un pouvoir sur notre souveraineté incompréhensible...(Merci Monsieur Macron)...

Macron a négocié l'achat de Pfizer d'une partie de Nestlé...et Pfizer a financé sa campagne présidentielle!?!

Il ne reste en ligne que deux injections Pfizer et Moderna, entreprises Américaines.

L'Europe a acheté un milliards huit cent millions de doses !

Tout comme Alstom, des milliers de personnes ont perdu leur travail, rapport bénéfice risques...

Des centaines de milliers de personnes en Europe meurt des injections, font des maladeis graves Ă  vie....on n'en parle pas.

Tout le monde s'en fout...le déni est totale!

Injection des stocks oblige

Des êtres humains sont envoyés au sacrifice de leur vie et de leur mort pour une maladie où on survit à 99,98%

Quelle est la cause?

Pourquoi après l'injection, certain n'ont rien, d'autres ont un peu de fièvre, d'autres meurent, d'autres des myocardies, d'autres ont des thromboses, d'autres des micros thromboses qui les épuisent, d'autres des paralysies faciales, d'autres des syndromes Ghislain Barré, d'autres des organes qui meurent etc...

Serait le fait que nous sommes encore en expérimentation, un vaste essai randomisé planétaire, pour pouvoir l'homologuer en 2023!

N'y a t-il pas eu en France l'annonce sur nos médias de 150000 doses de traitement vaccinal, qui n'était que du sérum physiologique et cette infirmière qu'on accusait ailleurs d'avoir injecté 6000 doses placébo...

Des chercheurs trouvent de l'oxyde de graphène, c'est en effet en cours d'utilisation depuis quelques temps dans l'industrie pharmaceutique ( voir le reinfo COVID au dessus) alors que d'autres n'en trouvent pas, y en aurait-il dans certaines et pas d'en d'autres ?

Y aurait-il un dosage différent d'ARN messager selon les fioles...une expérimentation est une expérimentation....

Ce qui me préoccupe avant tout, ce n'est pas l'histoire de Bourvil, celle du jockey qui entre dans la baignoire et de l'eau qu'elle soit ferrugineuse ou pas, mais bien les sacrifiés à l'autel des sciences appliqués à l'industrie....
....
Aucune réaction de la population....si peu qui manifestent.... Comme d'habitude, chacun pour soi, se soumettre....

Et que dire des scientifiques....n'ont rien Ă  dire, silence radio !

Mis Ă  part discuter sur le sexe des anges....
jeanfrancoiswarein@gmail.com
Haut

Olivier
Site Admin
Messages : 858
Inscription : 17 Juin 2018, 20:39

Re: les traitements ARN messager, leur efficacité factuelle et les effets factuels secondaires à court et long terme

  • Citer

Message par Olivier » 14 Oct 2021, 12:42

L'effet de la mélatonine sur la thrombose, la septicémie et le taux de mortalité chez les patients COVID-19

https://www.sciencedirect.com/science/a ... 1221007980

Points forts de cette étude
• La mélatonine peut être bénéfique pour prévenir les complications chez les patients atteints de COVID-19.

• La mélatonine peut être utilisée pour réduire le taux de mortalité chez les patients atteints de COVID-19.

• La mélatonine peut être bénéfique en tant que traitement adjuvant chez les patients atteints de COVID-19.
Cet effet implicite de la mélatonine a été quantifié directement dans cette étude, qui a révélé que 17,1 % des patients hospitalisés dans le groupe témoin sont décédés contre 1,2 % des patients du groupe mélatonine (P < 0,001). Les limites de cet essai étaient le caractère ouvert et monocentrique, ce qui pouvait restreindre la généralisabilité des résultats.


Toutefois selon le docteur Mike Yeadon "La plupart des décès de Covid-19 étaient le résultat direct de l'administration de Midazolam ou de Remdesivi".
https://theexpose.uk/2021/10/11/dr-mike ... ot-comply/

Selon le Vidal : https://www.vidal.fr/medicaments/substa ... -2380.html
Le midazolam est un hypnotique sédatif dérivé du groupe des imidazobenzodiazépines. La base libre est une substance lipophile peu soluble dans l'eau.

La base azotée en position 2 du noyau imidazobenzodiazépine permet à la partie active du midazolam de former avec des composés acides des sels hydrosolubles. Cela produit une solution pour injection stable et bien tolérée.

L'action pharmacologique du midazolam est caractérisée par sa courte durée d'action due à une dégradation rapide. Le midazolam présente une action sédative et hypnotique intense. Il exerce également des activités anxiolytique, anticonvulsivante et myorelaxante.

Après une administration par voie IV ou IM, il apparaît une amnésie antérograde de courte durée (le patient ne se souvient plus des événements qui se sont produits lors de l'activité maximale du produit).
Il semble que les mécanismes d'actions des benzodiazépines sont encore peu connus, notamment concernant leurs actions sur le circuit dopaminergique.

Je ne suis pas sûr qu'agir sur le fonctionnement du cerveau pour combattre une grosse grippe soit une si brillante idée, ce qui est sûr c'est que pas mal de gens sont devenus des cobayes, et que des gens ont laissé délibérément sans soins pour faire des essais randomisés.
Amitiés,
Olivier
Haut

Olivier
Site Admin
Messages : 858
Inscription : 17 Juin 2018, 20:39

Re: les traitements ARN messager, leur efficacité factuelle et les effets factuels secondaires à court et long terme

  • Citer

Message par Olivier » 14 Oct 2021, 22:52

Confirmant de multiples études sur les bienfaits de l'aspirine, pourtant déconseillée par les gentils qui nous veulent confinés, masqués et pfisés de force :

https://www.jpost.com/health-and-wellne ... ial-681127
L'aspirine réduit le risque de COVID : de nouvelles découvertes soutiennent un essai israélien préliminaire
Le traitement a réduit le risque d'atteindre la ventilation mécanique de 44 %. Les admissions aux soins intensifs étaient inférieures de 43 % et la mortalité globale à l'hôpital a diminué de 47 %.
Perso j'en ai pris dès qu'ils ont dit dans les médias qu'il ne fallait en prendre ...

Tout comme quand ils ont interdit les bars et la chloroquine, je m'étais mis du Gin tonic préventivement, à siroter en terrasse au soleil.

.
Amitiés,
Olivier
Haut

Olivier
Site Admin
Messages : 858
Inscription : 17 Juin 2018, 20:39

Re: les traitements ARN messager, leur efficacité factuelle et les effets factuels secondaires à court et long terme

  • Citer

Message par Olivier » 14 Oct 2021, 22:58

courbe_de_linde_0.png
L'Inde et le variant indien (delta) :

la courbe verte = région où les vaccins ont subitement été interdits et des kits distribués à tout le monde à base d'Ivermectine. Le Japon a suivi peu de temps après avec les mêmes résultats.

Il est où le problème ?
Amitiés,
Olivier
Haut

Olivier
Site Admin
Messages : 858
Inscription : 17 Juin 2018, 20:39

Re: les traitements ARN messager, leur efficacité factuelle et les effets factuels secondaires à court et long terme

  • Citer

Message par Olivier » 15 Oct 2021, 01:04

Interview de Vanessa Gelman, directrice principale de la recherche mondiale du développement et de la communication de Pfiser :

phpBB [video]
Amitiés,
Olivier
Haut

Olivier
Site Admin
Messages : 858
Inscription : 17 Juin 2018, 20:39

Re: les traitements ARN messager, leur efficacité factuelle et les effets factuels secondaires à court et long terme

  • Citer

Message par Olivier » 16 Oct 2021, 17:15

Inhibition de la réplication du coronavirus 2 du syndrome respiratoire aigu sévère par une solution saline hypertonique dans les cellules épithéliales pulmonaires et rénales

Nos données montrent que 1,2% de NaCl a inhibé la réplication du virus de 90%, atteignant 100% d'inhibition à 1,5% dans la lignée cellulaire de rein de primate non humain
https://pubs.acs.org/doi/full/10.1021/acsptsci.1c00080



Se gargariser pour Coronavirus ?

https://www.coronavirus-journal.fr/garg ... ence-dire/
Amitiés,
Olivier
Haut

Steph
Messages : 72
Inscription : 16 Mai 2021, 20:42

Re: les traitements ARN messager, leur efficacité factuelle et les effets factuels secondaires à court et long terme

  • Citer

Message par Steph » 17 Oct 2021, 08:05

Bonjour Ă  tous.

Voici un nouveau hors-sujet :

https://reinfocovid.fr/science/levidente-disproportion/

Hors-sujet salutaire, car prendre de la hauteur, c'est se donner les moyens de comprendre.

Bon dimanche !
Haut

Jean François
Site Admin
Messages : 2119
Inscription : 18 Juin 2018, 18:28

Re: les traitements ARN messager, leur efficacité factuelle et les effets factuels secondaires à court et long terme

  • Citer

Message par Jean François » 17 Oct 2021, 13:39

Oui Stéphane, l'analyse de reinfo est remarquable!

déjà le titre "L'évidente disproportion"

L'effet zoom du COVID, zoom d'une intention politicofinancière, augmenté encore par les médias mainstream, effet terriblement grossissant d'une propagande de tout bois dont une partie des mèdecins en conflit d'intérêt qui ne sont pas majoritaire, mais qui dominent les autres avec l'approbation du conseil de l'ordre, effet zoom provoquant la peur et ses pathologies physiques et celles de la psyché, effet obsessionnel, phobie, compulsion, jusqu'au suicide des enfants entre 7 et 11 ans, du jamais vu...

Alors que l'encombrement des hôpitaux pendant les vagues épidémiques chaque année est une constante, du 'Déjà vu" comme disent les Américains....

Mais le plus terrible dans cette analyse, c'est bien ceci:

L’extraordinaire mise en jeu de la vie physique, psychique et sociale des plus jeunes pour sauver les plus vieux

C'est le reflet de notre monde, qui se montre sans avenir, qui coure dans le mur et l'effondrement.

C'est comme les nombres en mathématique, jamais trouvé heureux cette classification des nombres négatifs ou positifs, un nombre est un nombre, n'a pas d'ombre, indépendant de l'opération qu'on lui colle, addition ou soustraction...

Cela m'apparaît comme un symptôme, une dualité dont les nombres se fichent bien, car un nombre ne porte pas les opérations qu'on lui colle, il est, c'est tout...négatif et positif sont des opérations sur les nombres,

C'est pareil pour notre monde il n'est ni négatif, ni positif, il est!

A nous de trouver les meilleurs opérations, la meilleure proportion, retrouvons son unité et toutes ses parties constituantes infinies qui s'articulent avec harmonie entre elles...

L' harmonie est la logique !l

Il n'y a qu'à ramasser les noix du monde, il y en a pour tout le monde, et comme le monde est déjà "noyer" il n'y a plus qu'à le sauver des eaux et faire émerger le Benben avec ses justes proportions. :D
jeanfrancoiswarein@gmail.com
Haut

Répondre
  • Aperçu avant impression

181 messages
  • Page 1 sur 8
    • Atteindre la page :
  • 1
  • 2
  • 3
  • 4
  • 5
  • …
  • 8
  • Suivant

Revenir vers « Hors sujets en vrac »

Atteindre
  • CatĂ©gories du forum
  • ↳   Architecture
  • ↳   Afrique
  • ↳   Architecture de l'Egypte ancienne
  • ↳   GĂ©omĂ©trie de la pyramide de KhĂ©ops
  • ↳   La petite Chapelle de SĂ©sostris 1
  • ↳   Gizeh : disposition gĂ©omĂ©trique des pyramides
  • ↳   La pyramide d'Abu Rawash : Redjedef
  • ↳   L'enceinte de Djeser bâtie sur PI ?
  • ↳   Anciennes mesures de surface
  • ↳   A la recherche du Cadastre ...
  • ↳   Les chapelles de SĂ©sostris 1er
  • ↳   La pyramide de Meidoum
  • ↳   le complexe d'Amenemaht III
  • ↳   La chapelle rouge de Karnac
  • ↳   Les chapelles d'albâtre
  • ↳   Le tombeau de Toutânkhamon
  • ↳   KhĂ©phren
  • ↳   MykĂ©rinos
  • ↳   Europe
  • ↳   La cathĂ©drale de Chartres
  • ↳   Notre Dame de Paris
  • ↳   Stonehenge
  • ↳   Chambord
  • ↳   AmĂ©riques
  • ↳   Asie
  • ↳   Australie
  • ↳   Arts visuels et kinesthĂ©siques
  • ↳   Afrique
  • ↳   AmĂ©riques
  • ↳   Asie
  • ↳   Australie
  • ↳   Europe
  • ↳   la peinture et les 3 tables
  • ↳   LĂ©onard De Vinci
  • ↳   La Cène
  • ↳   L'Annonciation
  • ↳   Sandro Botticelli
  • ↳   La naissance de VĂ©nus
  • ↳   L'Annonciation de Botticelli
  • ↳   La Calunnia di Apelle
  • ↳   Piero Della Francesca
  • ↳   Ecrits
  • ↳   Afrique
  • ↳   Textes hiĂ©roglyphiques
  • ↳   AmĂ©riques
  • ↳   Australie
  • ↳   Asie
  • ↳   Europe
  • ↳   En vrac
  • ↳   Musique
  • ↳   Afrique
  • ↳   AmĂ©riques
  • ↳   Asie
  • ↳   Australie
  • ↳   Europe
  • ↳   Sciences et techniques
  • ↳   Afrique
  • ↳   AmĂ©riques
  • ↳   Asie
  • ↳   Australie
  • ↳   Europe
  • ↳   Sciences Humaines
  • ↳   Afrique
  • ↳   AmĂ©riques
  • ↳   Asie
  • ↳   Australie
  • ↳   Europe
  • ↳   Hors sujets en vrac
  • Espaces, formes et contours Espaces, formes et contours
  • Le fuseau horaire est rĂ©glĂ© sur UTC+01:00
  • Supprimer tous les cookies du forum
  • Nous contacter

DĂ©veloppĂ© par phpBB® Forum Software © phpBB Limited

Traduction française officielle © MaĂ«l Soucaze

PRIVACY_LINK | TERMS_LINK